Case 3
Before
After
Case 3: Full-Mouth Rehabilitation for James Carter
Complete Upper Jaw Restoration & Lower Jaw Correction with a Flapless Procedure in Just 3 Hours
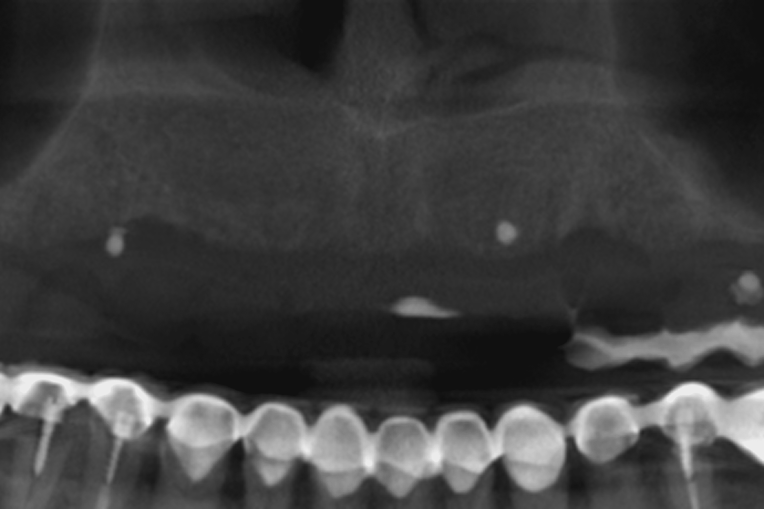
James Carter presented to our clinic with no remaining upper teeth and a failed lower-jaw restoration that left him unable to chew comfortably or smile with confidence. His condition was affecting both his daily function and overall quality of life, and he was seeking a fast, predictable solution that would restore his oral health without extensive surgical trauma.
Following a full digital assessment and CBCT imaging, our team determined that James was an ideal candidate for a minimally invasive flapless implant procedure — a technique that allows implants to be placed through small, precise openings without the need for incisions or sutures.
This approach offers significantly shorter treatment time, reduced swelling, faster healing, and a smoother overall experience.
Treatment Timeline
Day 1 — Digital Evaluation & Treatment Planning
- Comprehensive clinical and radiographic evaluation
- Full 3D digital planning for upper and lower jaw restoration
- Design of a minimally invasive, flapless surgical protocol
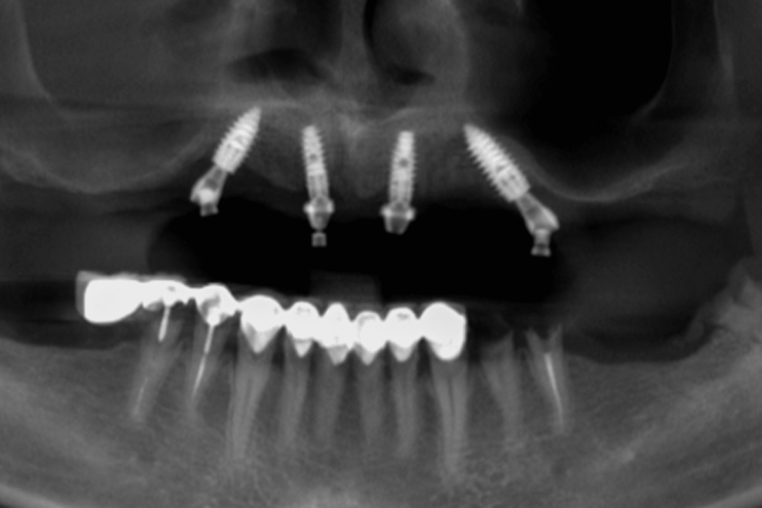
Day 2 — Flapless Surgical Procedure (3 Hours Total)
- Placement of multiple implants in the upper jaw
- Removal and correction of the failed lower-jaw restoration
- Seamless implant placement using digital guides
- No incisions, no sutures, minimal bleeding
- Immediate Prosthetics Preparation
- Digital impressions taken immediately after surgery
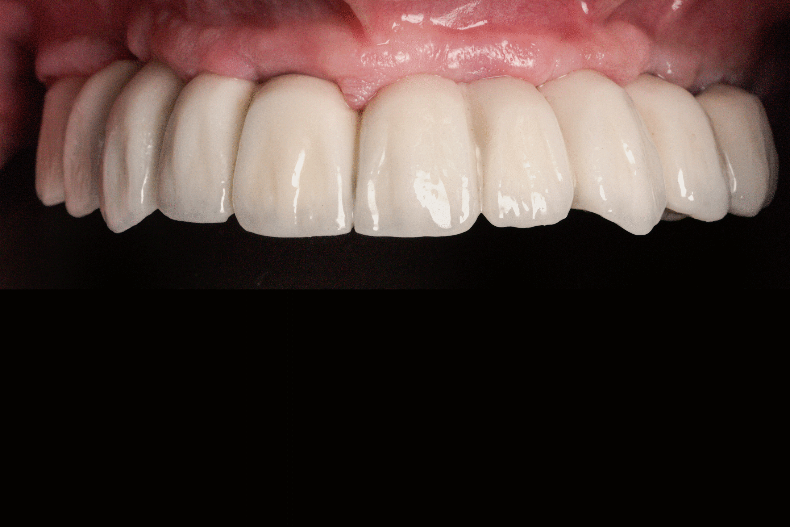
- Temporary fixed teeth fabricated to restore function and appearance
Outcome
In only 3 hours, James received a complete upper-jaw reconstruction and a corrected lower-arch restoration using a fully flapless implant technique.
He left the clinic the same day with:
- A functional temporary smile
- Minimal discomfort
- No surgical incisions
- A dramatically improved ability to speak and chew
This case illustrates how advanced digital planning and minimally invasive implant techniques allow us to deliver efficient, predictable, and life-changing results — even for patients with complete upper-tooth loss and failed previous restorations.