Case 7

Before

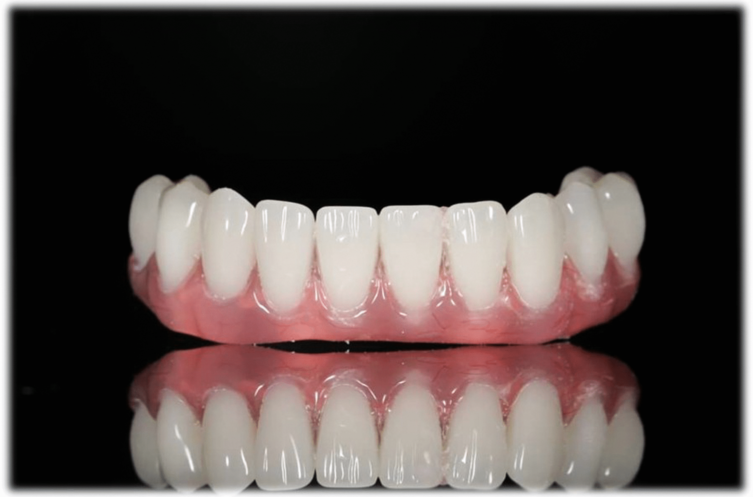
After

Case 7: Full-Mouth Restoration for Christopher Hayes

Addressing Psychological Trauma Through Guided Full-Arch Rehabilitation in Just 4 Days

Christopher Hayes arrived at our clinic in a state of significant emotional and psychological distress. He had lost all his teeth and was struggling not only with the physical limitations of tooth loss, but also with the deep psychological impact it had on his confidence, social life, and overall wellbeing.

His primary goal was to regain his smile — not just functionally, but emotionally. He wanted to feel like himself again.

To deliver a fast, predictable, and life-changing result, our team utilized advanced digital planning and a computer-guided surgical stent, ensuring highly accurate implant placement with minimal surgical trauma.

Treatment Timeline
Day 1 — Comprehensive Assessment & Digital Planning
  • Full clinical examination and 3D CBCT imaging
  • Immediate digital treatment planning
  • Design of a fully guided surgical stent to ensure precise implant placement
Day 2 — Guided Implant Surgery
  • Placement of implants through a fully guided, minimally invasive protocol
  • Optimized positioning to support stable, full-arch restoration
  • Procedure completed with minimal discomfort
Days 3–4 — Prosthetic Fabrication & Smile Delivery
  • Digital impressions and design of fixed temporary teeth
  • Aesthetics and function customized to the patient’s facial profile
  • Final fitting of a complete set of functional, natural-looking teeth
Outcome

Within four days, Christopher transitioned from having no teeth at all to a full, functional smile supported by securely placed implants. Beyond the clinical transformation, the psychological impact was profound:

  • He regained the ability to speak and eat normally
  • His smile was restored, drastically improving self-esteem
  • The rapid, guided approach minimized stress and recovery time

This case highlights how modern digital implant dentistry can deliver not just functional and aesthetic results, but also help patients overcome the emotional trauma associated with total tooth loss — restoring confidence, comfort, and quality of life in a matter of days.